יותר מדי מדבר טוב
האם עודף בגן תקין יכול להיות דבר רע? פרופ' יורם גרונר חשב שכן, ויצא למסע מחקרי מרתק, שבסופו תיאר את הבסיס המולקולרי לתסמונת דאון
קל, יחסית, לאמץ תפיסה שלפיה גן פגום עלול לגרום להפרעות בתפקוד הביולוגי של הגוף, ואפילו למחלות. אבל מה קורה כאשר במטען הגנטי קיימים יותר מדי עותקים תקינים של גן מסוים? האם עודף גנים תקינים עלול לגרום לתופעות שליליות? התשובה על השאלה הזאת לא הייתה ברורה, בימים בהם עשתה הגנטיקה את צעדיה המולקולריים הראשונים, שכן עותקים רבים מדי של אותו גן לא בהכרח מביאים לייצור כמות עודפת של החלבון המקודד בגן. ובסופו של דבר, החלבונים הם השחקנים האמיתיים במגרש של התאים החיים. הגנים "רק" צופנים את המידע הנחוץ לבנייתם. בנוסף לחוסר הבהירות בשאלה זו, עמדו לנגד עיניהם של הגנטיקאים דוגמאות רבות מעולמם של הצמחים, שם ריבוי עותקים של גנים תקינים הוא תופעה רווחת (ובעלת חשיבות בהתפתחות), שאינה גורמת הפרעות כלשהן.
זה ההקשר שבו יש לראות את עבודתו החלוצית של פרופ' יורם גרונר, שהקים את המחלקה לגנטיקה מולקולרית במכון ויצמן למדע (כמיזוג של המחלקה לגנטיקה עם המחלקה לווירולוגיה), ובהמשך כיהן כמשנה לנשיא המכון. פרופ' גרונר זכה באחרונה בפרס א.מ.ת במדעי החיים - גנטיקה לשנת 2008. בנימוקי השופטים נאמר, בין היתר: "על מחקריו פורצי הדרך בביולוגיה מולקולרית של תסמונת דאון אשר הוכיחו הלכה למעשה את תיאורית מינון-גני עודף במופע של שלושה עותקים של כרומוזום 21..." . מה היא תיאורית מינון-גני עודף? למה היה חשוב להוכיח אותה? ומתי מופיעים בתאי גוף האדם שלושה עותקים של כרומוזום 21?
מה גורם לתסמונת דאון?
בשנת 1866 תיאר הרופא האנגלי ג'ון לנגדון דאון מחלה שנקראה מאוחר יותר על שמו: תסמונת דאון. לפני כ-50 שנה התברר, כי היא קשורה להופעה של שלושה עותקים של כרומוזום 21 (במקום שני עותקים הקיימים בתאים של בני-אדם רגילים). בניגוד למה שמקובל לחשוב, תסמונת דאון היא מחלה גנטית נפוצה למדי. על אף שימוש נרחב בשיטות אבחון בטרם לידה, אחד מכל 800 תינוקות הנולדים בעולם המערבי סובל מתסמונת דאון. בנוסף לפיגור השכלי-התפתחותי סובלים החולים במחלה זו משורה של פגמים, שחלקם מופיע במחלות אחרות הנפוצות באוכלוסייה הרגילה. בין היתר מדובר בליקויים בתפקוד השרירים, סוכרת, לוקמיה, ותדירות גבוהה יחסית של מחלת אלצהיימר.
המדענים, שביקשו להבין כיצד גורם עותק נוסף, שלישי, של כרומוזום 21 לתסמונת דאון, בחנו בעניין הזה שתי אפשרויות. תיאוריה אחת, שכונתה Developmental Instability, הניחה שתסמיני דאון נגרמים משיבוש שיווי המשקל הפיסיולוגי כתוצאה מהעלייה במספר הכרומוזומים. תפיסה זו התיישבה עם הדמיון הרב בין חולי תסמונת דאון ועם העובדה שרוב הפגמים שמהם הם סובלים, מופיעים גם באוכלוסייה הכללית, אם כי בתדירות וחומרה נמוכות יותר. תיאוריה אחרת, שכונתה Gene dosage effect, "מינון גני עודף", הציעה שכל אחד מהתסמינים נגרם באופן ישיר כתוצאה ממינון עודף של גן אחד או מספר גנים מהכרומוזום הנוסף, שמלווה בעליית כמות החלבון שנוצר על-ידי אותו גן.
בהיותו ביולוג מולקולרי, נטה פרופ' גרונר לתמוך בתיאוריית "מינון גני עודף", והציב לו כמטרה להוכיח אותה. ממצאיו לא רק הוכיחו את התיאוריה, אלא גם הניחו את היסודות לחקר הגנטיקה המולקולרית של תסמונת דאון. הוא הציב לעצמו אתגר: לבודד גן אחד מסוים מכרומוזום 21, ולהוכיח שמינון עודף של אותו גן גורם לתסמינים שידועים בתסמונת דאון - ובדרך זו להוכיח את נכונותה של תיאוריית "מינון גני עודף". גישה זו הייתה באותו זמן (1979) נועזת וחדשנית. המידע בדבר הגנים שנמצאים על כרומוזום 21 היה חלקי ביותר, מבדקים מולקולריים שמאפשרים מעקב אחר ביטוי גנים לא היו בנמצא, וטכנולוגיית שיבוט גנים הייתה בחיתוליה. כמו במקרים רבים אחרים, גם במקרה הזה, כדי להגיע למחוזות ידע חדשים, היה על המדענים להמציא גלגלים חדשים.

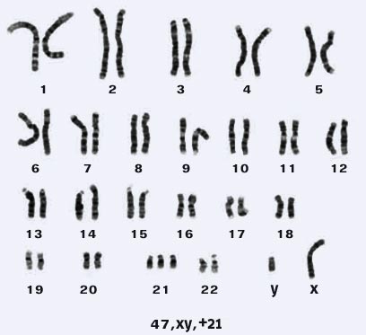
מבנה כרומוזומלי של לוקה בתסמונת דאון. עותק שלישי של כרומוזום 21
SOD אחד מסגיר סודות רבים
ממצאי בדיקות הראו, שבדמם של הסובלים מתסמונת דאון מצויה כמות גדולה יחסית של אנזים הקרוי SOD1. אבל האם הגן המקודד את SOD1 ממוקם על כרומוזום 21? ואם כן, מה תפקידו של SOD1 במחלה? האם עודף של האנזים הזה קשור בדרך זו או אחרת לתופעות הייחודיות לתסמונת? תשובות לשאלות מסוג זה, הנשאלות היום דרך שגרה במחקרים רבים בתחום הגנטיקה, היו אז, בראשית שנות ה-80 של המאה הקודמת, כמעט מעבר להישג ידו של המדען.
אבל פרופ' גרונר וחברי קבוצת המחקר שלו לא ויתרו. הם יצאו למסע ציד אחר הגן "החשוד" שבאמצעותו קיוו להוכיח את תיאוריית "מינון גני עודף". מסע הציד החל בשיבוט הגן הראשון מכרומוזום 21 וקביעת רצף הבסיסים שלו. עתה שאלו החוקרים, האם הגנים שיוצרים כמות עודפת של SOD1 באמת ממלאים תפקיד בגרימת הפגמים של תסמונת דאון? בשלב ראשון יצרו תאים שהכילו כמות עודפת של SOD1, בדומה לתאים מחולים בתסמונת דאון. תאים אלה אכן הראו תכונות פיסיולוגיות חריגות, כתוצאה מיצירת כמות עודפת של מי חמצן, שהם תוצר הריאקציה של SOD1.
אחד הפגמים שנבעו מכך היה פגיעה בתהליך הקליטה של מתווכים עצביים (נוירו-טרנסמיטורים), אשר באופן רגיל נקלטים ונאגרים בתוך התא. בהמשך פענחו פרופ' גרונר וחברי קבוצתו את המנגנון
המולקולרי הגורם לפגם, והראו כי מוקד הפגיעה הוא במשאבה מיוחדת שתפקידה לשאוב את המתווכים העצביים לתוך התא. ממצא זה סיפק הסבר מנגנוני מולקולרי כיצד מינון גני עודף של גן מכרומוזום 21 גורם לפגם בעל השלכות פיסיולוגיות.
אך מהו הקשר בין פגיעה זו בתהליך שאיבת המתווכים העצביים לבין תסמיני תסמונת דאון? כדי לענות על השאלה הזאת, יצאו פרופ' גרונר וחברי קבוצתו להרפתקה חלוצית נוספת. הם החדירו את הגן המקודד SOD1 לעכברים, ויצרו בפעם הראשונה מודל עכברים עם גן מכרומוזום 21. עכברים אלה, שנשאו גנים של SOD1 במינון עודף ויצרו כמויות גדולות של SOD1, הכילו בדמם רמה נמוכה ביותר של המתווך העצבי סרוטונין - בדומה למה שנמצא בתינוקות הסובלים מתסמונת דאון. ממצא זה הוכיח הלכה למעשה את תיאוריית "מינון גני עודף" כמנגנון הגורם לתסמונת דאון.
המעגל נסגר
אבל איך בדיוק גורם עודף של SOD1 לירידה בסרוטונין בדם? בהמשך המחקר התגלה, כי בדומה לממצאים בתאים טרנסגניים, גם בעכברים גורם עודף SOD1 לייצור חריג של מי חמצן אשר פוגעים במשאבה המיוחדת ששואבת את הסרוטונין מהדם אל תוך תאי הטסיות, שם הוא אמור להיאגר.
הכשל של מנגנון השאיבה הזה גורם לכך שהסרוטונין נשאר בזרם הדם ומתפרק. כתוצאה מכך נוצרת רמת סרוטונין נמוכה בטסיות, ובהמשך גם במוח של העכברים הטרנסגניים, בדומה למצב שמתקיים בסובלים מתסמונת דאון (תופעה דומה מתחוללת במחלת הסוכרת, שבה, כתוצאה ממחסור באינסולין, או כשל ביעילותו, הסוכר המומס בדם אינו חודר אל תוך התאים שם הוא נחוץ, אלא נשאר בזרם הדם וגורם לתופעות שליליות).
כך הושלם מעגל קלאסי של מחקר מדעי שתחילתו בהשערה, שמנסה להסביר תופעה ביולוגית ברמת האורגניזם השלם; המשכו בזיהוי הגורם המולקולרי לתופעה, בידודו ושיחזור התופעה באופן יזום באמצעות הגורם המזוהה; וסופו פענוח מנגנון הפעולה שבו הגורם פועל את פעולתו - והוכחת ההשערה.