שתף קטע נבחר

ניצלו חיי פעוטה שבלעה סוללה וכמות גדולה של גרעינים

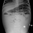
פעוטה בת שנה ושלושה חודשים הובהלה לבית החולים כשהיא סובלת מבטן תפוחה, ירידה במשקל וחוסר תיאבון. צילום הרנטגן הראה גוף זר בבטנה. היא הועברה לחדר הניתוח שם נמצאה סוללה וכמות גדולה של גרעינים. עובדים סוציאליים חוקרים את המשפחה

חיי פעוטה בת שנה ו-3 חודשים ניצלו בניתוח חירום: הפעוטה הובהלה למרכז הרפואי קפלן ביום חמישי האחרון, לאחר שהגיעה בשל בטן תפוחה משך מספר ימים, כאבי בטן, ירידה במשקל וחוסר תיאבון. בצילום שנעשה במחלקה נראה בבירור גוף זר כלשהו.

 

ביום שישי הועברה הפעוטה לחדר הניתוח שם שלף ממעיה ד"ר משה גרינשפן, מנהל השירות לכירורגיית ילדים סוללה קטנה חלודה, וכמות גדולה של גלעיני זיתים, פיסטוק, אבטיח ודובדבנים.

 

במהלך הניתוח הסתבר שהבעיה הראשונית של הילדה היא רצועת רקמת חיבור מולדת שגורמת לחסימה חלקית של לולאת המעי. החפצים שבלעה הגיעו לאזור החסימה החלקית ויצרו חסימה מלאה. הניתוח עבר בהצלחה והפעוטה יצאה מכלל סכנה.

 

"לא ברור לנו כיצד הגיעו הסוללה והגלעינים לפי הפעוטה", אומרת ל-ynet פרופ' אתי גרנות, מנהלת חטיבת הילדים בבית החולים, "השירות הסוציאלי שלנו חוקר האם היא הרימה את זה מהריצפה, או ממאפרה. ברור שכל הורה אחראי לא יתן לילדים שלו פירות עם גרעינים".

 

פרופ' גרנות מזכירה כי פעוטות שלהם אחים גדולים, חשופים יותר לחלקי צעצועים הפועלים על סוללות, כמו גם למזונות אסורים. "חשוב להשגיח שלא יהיה לילדים כל מגע עם גופים כאלו, כיוון שהסכנה הגדולה היא לא רק חסימת מעיים כפי שקרה הפעם, אלא שאיפה לריאות שעלולה להסתיים בחנק". 

 

  תגובה חדשה
הצג:
אזהרה:
פעולה זו תמחק את התגובה שהתחלת להקליד
צילום הרנטגן. הסוללה נראיתה בבירור
צילום הרנטגן. הסוללה נראיתה בבירור
מומלצים