בן 8 שאף סוללה שנתקעה בריאה
ילד בן 8 ממרכז הארץ החזיק את הסוללה בפיו ואז בלע אותה בשוגג. הוריו הבהילו אותו לחדר המיון בשניידר, שם נתגלה כי הסוללה ממוקמת בריאות. הרופא המטפל בשניידר: "למזלו של הילד, הוריו היו עירניים. כשמדובר בסוללה צריך להגיע מייד למיון"
סיכות, מגנטים, חלקי צמחים - זוהי רשימה חלקית בלבד של עצמים שנשאפים או נבלעים בשוגג על ידי ילדים, ונשלפים מהריאות או ממערכת העיכול שלהם. לרשימה הזו התווסף השבוע בית החולים שניידר גם סוללה, שנשאפה על ידי ילד בן 8 ונשלפה מראותיו. הילד טופל ביחידה לטיפול נמרץ בשניידר ואתמול (ב'), פחות מיממה לאחר הטיפול, שוחרר לביתו.
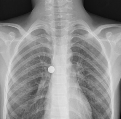
הורי הילד, זוג ממרכז הארץ, הגיעו ביום ראשון בשעות הערב לחדר המיון יחד עם בנם. ההורים סיפרו כי בנם החזיק בפיו סוללה, וככל הנראה הוא השתעל או השתנק והסוללה נבלעה. בבית החולים ביצעו צילום רנטגן שאושש את ההשערה.

"סוללות מכילות חומצות שאוכלות את הרקמות" (באדיבות ביה"ח שניידר)
"למזלו של הילד, ההורים היו ערניים"
"בצילום ראינו את הסוללה בתוך הגוף ונראה היה שזה בריאות", סיפר ד"ר יורם שטרן, מנהל השירות למחלות דרכי
הנשימה וקול ביחידת אף אוזן גרון במרכז שניידר. "זה יחסית נדיר, כי לרוב במקרים דומים מדובר בבליעה של הסוללה ולא בשאיפה. סוללות מכילות חומצות, שמאכלות והורסות רקמות. היתה דחיפות להוציא את הסוללה בהקדם, כדי שלא ייגרם נזק לרקמת הריאות". ד"ר שטרן הוסיף כי אם הסוללה היתה מתפרקת, עלול היה להיגרם נזק בריאותי ממשי לילד.
הילד הורדם ולפיו הוכנס אנדוסקופ, צינור גמיש ובו מצלמה אופטית ומלקחיים, במטרה להוציא את הסוללה מהריאות.
"ילדים קטנים עלולים לבלוע חפצים מבלי שהם יודעים שזה מסוכן. ילדים גדולים יותר שמחזיקים חפצים בפה עלולים בהסח הדעת לבלוע אותם. המזל של הילד הזה היה שההורים שלו הביאו אותו מיד לבית החולים. בכל מקרה של בליעה או שאיפה של גוף זר צריך להגיע לבית החולים, אך כשמדובר בסוללה צריך להגיע מיידית ולא להשתהות אפילו לכמה רגעים, כי הפגיעה עלולה להיות קשה", אומר ד"ר שטרן.
צילום הרנטגן של הילד במיון
באדיבות ביה"ח שניידר
מומלצים