שתף קטע נבחר

כמעט ונחנק לאחר שבלע מטבע של חצי שקל

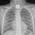
הצד האחר של המטבע: בן 6.5 בלע מטבע של חצי שקל והובהל לבית החולים וולפסון עם בעיות נשימה. למזלו, נכנס המטבע לוושט ולא לקנה הנשימה

"כפסע היה בינו ובין היחנקות" – כך תיארו בבית החולים וולפסון בחולון את המקרה שבו מטבע בגודל של חצי שקל חסם את הוושט של הילד אדם באראייב, בן שש וחצי. מנהל מיון ילדים בוולפסון ד"ר אילן דלאל סיפר כי "המזל הוא שהמטבע נכנס לוושט ולא לקנה הנשימה הצמוד אליו, המטבע יכול היה לחסום את קנה הנשימה לחלוטין. במקרה הנוכחי זה כאב לו והפריע לו לאכול ולשתות אבל זה לא היה מסכן חיים".

 

באראייב, תלמיד בכיתה א' הגיע לבית החולים וולפסון לפני יומיים, הישר מבית הספר. אביו סיפר כי במהלך ההפסקה שיחק עם המטבע בפיו. "החבר שאל אותו אם הוא יכול לבלוע את המטבע", מספר לזר באראייב, אביו של אדם. "אדם ענה שאסור לבלוע מטבעות אבל החבר התגרה בו ואמר 'אתה לא גבר' ושיכנע אותו לבלוע".

 

האב סיפר כי אדם חש מיד בכאבים והגיע תוך עשרים דקות לחדר המיון. "הוא היה מבוהל וגם התקשה לנשום. הוא בכה והקיא".

 

בחדר המיון סיפר אדם שבלע מטבע וצילום רנטגן שנערך לו הראה היכן בדיוק הוא תקוע. אדם הורדם והוכנס לחדר ניתוח שם הוצא המטבע מגרונו בעזרת מלקחיים זעירות.

 

לדברי ד"ר דלאל, "בדרך כלל מטבעות קטנים לא נתקעים ונכנסים ישר לקיבה אבל חצי שקל זה מטבע גדול בגודל של הושט לכן הוא נתקע שם. מזלו
שהמטבע נתקע בושט ולא בקנה הנשימה. צריך להזהיר ילדים שנוהגים לשחק בפה עם חפצים כמו עגילים ועפרונות. אלו חפצים שיכולים להיבלע. מומלץ לא לשחק עם גופים זרים בפה".

 

אדם שוחרר כבר מבית החולים והיום כבר חזר ללימודים. אביו אומר: "הוא ילד חכם מאד ומחונך, אבל לכל ילד זה יכול היה לקרות. ילדים לא תמיד חושבים מספיק. עכשיו הוא מבין שעשה טעות".

 

מנתוני ארגון "בטרם" לבטיחות ילדים עולה כי בשנה שעברה נרשמו בישראל שבעה מקרי מוות של ילדים ותינוקות בעקבות חנק.

 

  תגובה חדשה
הצג:
אזהרה:
פעולה זו תמחק את התגובה שהתחלת להקליד
חצי שקל בוושט. מזל שלא בקנה
חצי שקל בוושט. מזל שלא בקנה
באדיבות בי"ח וולפסון
מומלצים