בניתוח מורכב וסבוך במרכז הרפואי שערי צדק, הסירו ד"ר נבו מרגלית וד"ר בועז פורר גידול משמעותי ומסיבי מראשו של רופא מאתיופיה שהובא לארץ. "זה אחד הניתוחים הנדירים שביצענו. מדובר על ניתוח ראש מורכב במקביל מהאף ומהגולגולת", סיפר ד"ר מרגלית מנהל המחלקה הנוירו-כירורגית בבית החולים.
המקרה הגיע לפתחו של בית החולים לאחר שקרובת משפחתו של הרופא מאתיופיה, עובדת כוח עזר בשערי צדק, ביקשה מחבריה לעבודה לברר אם ניתן להתייעץ עם צוותי הנוירולוגיה והנוירוכירורגיה בבית החולים בנוגע למצבו.
לאחר שהוא אובחן עם גידול משמעותי בראש, הומלץ לו להגיע לישראל כדי לבצע את הניתוח המסוכן והמורכב. כשהתברר שמדובר על ניתוח גדול ויקר, למטופל ללא ביטוח שמכסה זאת, בחליטה הקהילה להתגייס - ואספה סכום כסף משמעותי לכיסוי הוצאות הניתוח והאשפוז. בבית החולים שערי צדק לא נשארו אדישים לצעד המרגש, והוסיפו סיוע נוסף.
מנתחי המחלקה הנוירוכירורגית ומחלקת אף אוזן גרון בשערי צדק ביצעו את הניתוח המורכז, שבמהלכו עבדו שני צוותי מנתחים במקביל. צוות נוירוכיורוגי בראשות ד"ר מרגלית ביצע ניתוח ראש מורכב כדי להגיע אל הגידול דרך הגולוגולת, ובמקביל עבד צוות מנתחי אף אוזן גרון בראשות ד"ר פורר, מנהל יחידת סינוס, שביצע כניסה להסרת הגידול דרך האף של המטופל.
גידול מסיבי בראשו של רופא מאתיופיה הוסר בניתוח מורכב בארץ
בשל הגידול העצום והמיקום המורכב והקריטי שלו, הוחלט על ניתוח אחד כאשר בו זמנית הצוותים פעלו להסיר את הגידול כל אחד מכיוון אחר. בתום שעות ארוכות של ניתוח - הגידול הוסר. המטופל משתקם מאז בצורה טובה ואף שוחרר מאשפוז לקראת שיקום.
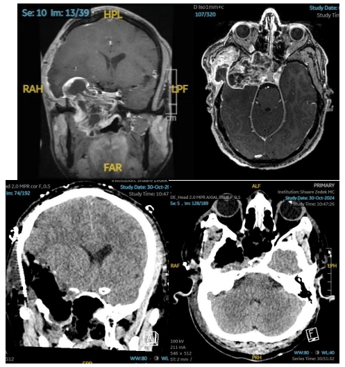
"המטופל הגיע עם גידול המערב את בסיס הגולגולת, את החלק המוחי התוך גולגולתי וגם את חללי האף", סיפר ד"ר מרגלית. "כיוון שהגידול היה מאוד גדול, הוא החל להרוס חלק משמעותי מבסיס הגולגולת. הכריתה שלו חייבה אותנו לפעול בשתי גישות ניתוחיות בו זמנית. גישה אחת דרך פתיחה של הגולגולת, מה שנקרא קרניוטומיה, וגישה שנייה אנדוסקופית דרך האף.
"לאחר התייעצות החלטנו לבצע את שתי הגישות באותו ניתוח, וכך הצלחנו להוציא את כל הגידול משני הצדדים בניתוח אחד ולחסוך למטופל ניתוח מורכב נוסף", סיכם.









