בשיתוף המרכז הרפואי שערי צדק
הסיפור של עדי חנוכייב, סטודנטית לאדריכלות ועיצוב פנים בת 24 מקריית ים, התחיל ברגע אחד, בו הבחינה בכך שהראייה שלה מתדרדרת. מאז אותו הרגע המצב החל והחמיר, ועדי ניסתה הכל: מהתאמת המשקפיים לבדיקות רפואיות, אך המאמצים העלו חרס. רופא אחר רופא, כולם בדקו אותה והשיבו לה שהיא בריאה לחלוטין.
לפני שכל זה התחיל, היא ראתה מעולה. "לא הייתי צריכה משקפיים, הכל היה תקין", היא מספרת. "פתאום התחלתי לראות מטושטש. רופא בדק אותי, אמר לי שהייתי צריכה לפנות אליו לפני שנתיים. גם עם המשקפיים, לא ראיתי טוב. רופאה אחרת אמרה שאין בעיה בעיניים. הגעתי לחדר מיון. הרופא אמר שזה נפשי, ואני בלחץ מהמבחנים בסמסטר א' בלימודים. אמרו שתוך כמה ימים זה יעבור".
עדי נאלצה להפסיק את הלימודים ואת אורח החיים שלה לחלוטין. "באדריכלות חייבים להיות מדויקים ולא יכולתי", היא נזכרת. "הפסקתי לנהוג. לא יכולתי לעבוד בחנות צעצועים כי לא ראיתי את הקופה. זה לקח שמונה חודשים עד שקיבלתי אבחון, ובזמן הזה הייתי עלולה לאבד את הראייה לחלוטין".
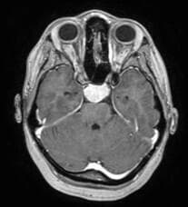
בבדיקה מעמיקה בסופה התגלה גידול שלחץ על עצב הראייה. בהתחלה הופנתה לניתוח בחו"ל, אבל אחרי בירורים שמעה על ד"ר נבו מרגלית מהמרכז הרפואי שערי צדק, מנהל המחלקה הנוירוכירורגית, ומומחה לתחום. בזכות הניתוח שביצע בה, הגידול הוסר בהצלחה והראייה של עדי ניצלה.
עדי, איך הרגשת כשהרופאים אמרו לך שהכל בסדר?
"התווכחתי איתם, הבנתי שזה לא קשור לעומס נפשי. אבל לא ידעתי מה זה. הם לא ראו שום דבר סביב העין עצמה, ולכן התעקשו שאין כלום. מהצד שלי לא ידעתי שאני צריכה לבקש בדיקת CT. אני אמורה לסמוך על הרופאים. לא האמינו לי שיש בעיה, חשבו שאני עובדת עליהם. רק כשאבא שלי הגיע לבית חולים והתעקש שאעשה את כל הבדיקות, קיבלתי הפניה לבדיקת CT. הם לא האמינו שימצאו משהו, אבל ישר ראו את זה בבדיקה. היה כמעט 3 ס"מ של גידול".
הרגשת הקלה כשקיבלת את האבחון?
"כן, ממש. מרוב שאמרו לי שזה נפשי כל הזמן, הרגשתי שאני לא בסדר. הרגשתי הקלה. סוף סוף יש משהו שאפשר לטפל בו".
מה חשוב לך שידעו?
"להתעקש, גם אם אומרים שזה נפשי, לעשות את כל הבדיקות, זו הדרך לשלול. שלחו אותי מבית החולים לבצע ניתוח בחו"ל, וזה לא היה הכרחי. יש לנו את האמצעים הכי טובים גם בארץ לעשות את הניתוח הזה. ד"ר מרגלית הוא מומחה. עברתי את הניתוח בבית החולים שערי צדק בארץ".
אחרי שכמעט איבדת אותה, איך הראייה שלך עכשיו?
"היום אני רואה ממש טוב בעין אחת, בעין השנייה עדיין לא רואה אבל ד"ר מרגלית אמר שהוא מאמין שזה יכול להשתפר. זה לוקח זמן אבל זה יהיה בסדר. אני יכולה להגיד שבחרתי נכון. הרגשתי שאני בידיים טובות ואני יכולה לסמוך עליו. הוא רופא מדהים, אפשר לדבר איתו ולשאול אותו שאלות, הוא מאיר פנים ומלא בניסיון".
ד"ר מרגלית זוכר את המקרה המיוחד של חנוכייב. "עדי הייתה על סף עיוורון. אסור היה לחכות", נזכר ד"ר מרגלית. "היא הייתה במצב גרוע. אני מאד שמח וגאה שהיא חזרה לחיים, שהיא רואה טוב והולכת ומשתפרת. זו גאווה גדולה".
"הציבור שיש לו הפרעות ראייה צריך לדעת על זה"
ד"ר מרגלית מדגיש שהעבודה אינה שלו בלבד, אלא של כלל הצוות הרפואי המסור במרכז הרפואי שערי צדק. "אנחנו מקיימים את הטופ מבחינת ציוד, טכנולוגיה, מערכת ההרדמה, חדר ניתוח. זו מערכת שלמה, מתוקתקת בצורה מעולה", הוא מסביר. "אנחנו תמיד מצוידים בכל מה שקיים בשוק וחיוני לניתוחים הנוירוכירורגיים. אני לא יכול לחשוב על פריט ציוד שהייתי רוצה ואין לנו".
ממה בדיוק סבלה עדי?
"הגידול שבו מדובר הוא גידול בשם מנינגיומה", מסביר ד"ר מרגלית. "זה גידול של מעטפות המוח שגדל סביב או מתחת למוח על בסיס הגולגולת. הוא יכול לערב כל מיני דברים שנמצאים בסביבתו. במקרה הזה, הוא לוחץ את עצבי הראייה. הוא יכול לגרום להפרעת ראייה קשה".
איך זה מרגיש לדעת שהחזרת לאשה צעירה את הראייה שלה?
"כשאתה בא בבוקר לניתוח כזה, אתה מבין מה מונח על הפרק. ההצלחה אף פעם לא מובטחת, יש גם סיבוכים, אבל הידיעה שיש את היכולת להחזיר בחורה צעירה לחיים ולהציל אותה מעיוורון אם זה ילך טוב – זה מה שנותן לך את האומץ והידיעה שאתה יכול, אתה יודע שיש לך סיכוי טוב לעזור, שעשית את זה הרבה פעמים בעבר וזה הצליח".
בכמה מקרים דומים אתה נתקל בעבודתך?
"אני נתקל הרבה במקרים של עיכוב באבחון, והמקרה של עדי הוא דוגמא קלאסית. במשך 7 חודשים אמרה שיש לה ירידה הולכת ומחמירה בראייה, בעין אחת ואז בעוד עין, ונתנו לה אבחנות מוזרות ופסיכיאטריות. רק כשהופעל לחץ על ידי המשפחה היא נשלחה לבדיקת CT. הציבור שיש לו הפרעות ראייה צריך לדעת על האופציה הזו, והרופאים השונים גם צריכים לשים לב אליה. אם אי אפשר למצוא פתרון אחר, צריך לחשוב אם הבעיה היא עמוקה ואחורית יותר".
אם עדי הייתה נשלחת לבדיקה, היו רואים בה את הגידול?
"בבדיקת CT היו במאה אחוז רואים את הגידול. זה גידול שגדל באיטיות לאורך חודשים ושנים. אין ספק שהגידול היה שם כבר שנתיים - שלוש עוד לפני האבחון. כשהוא גדל, יש פגיעה קשה בעצבי הראייה. עדיף שתהיה בדיקת CT מיותרת ולא נפספס את אלו שכן יש להם גידול, צריך לשלול ולהוריד מהפרק את האופציה הזו - ואחר כך להמשיך בחיפוש של דברים אחרים".
האם הגידול של חנוכייב נדיר?
"לא. מדובר בגידול התוך גולגולתי הראשוני הכי שכיח באדם מבוגר. המצב בו הוא מערב את עצבי הראייה לא שכיח, אבל גם לא נדיר וניתחתי עד היום מאות אנשים שהיתה להם מעורבות של עצבי הראייה עם מנינגיומה. אני מומחה לנושא והידיעה שחולה כמו עדי קיבלה המלצה לעבור את הניתוח בחו"ל מטרידה ומיותרת. חשוב להעלות מודעות לזה שהגידולים האלה זו אחת מהאפשרויות לירידה בראייה שלא מוסברת בצורות אחרות. חשוב לדעת שהגידול לא כל כך נדיר".
בשיתוף המרכז הרפואי שערי צדק
פורסם לראשונה: 07:00, 12.10.25







