דווקא בתקופה הקשה הזו, ולאחר שמעבדתה נהרסה בתקיפה האיראנית, נכנסה פרופ' יפעת מרבל ממכון ויצמן למדע לרשימת Nature's 10 – שכולל את עשרת האנשים המשפיעים במדע לשנת 2025. הרשימה היוקרתית איגדה חוקרים וחוקרות מרחבי העולם, שנבחרו על ידי עורכי כתב העת בשל תרומתם לרגעים מדעיים משמעותיים במיוחד השנה.
פרופ' מרבל, ביולוגית מערכתית מהמחלקה לאימונולוגיה מערכתית במכון ויצמן למדע, "חשפה רובד חדש ולא מוכר במערכת החיסון האנושית", נכתב ב-Nature. היא תוארה כ"בלשית של פפטידים", שהצליחה לגלות "רובד חדש של מערכת החיסון, שהסתתר בתוך הפסולת התאית".
4 צפייה בגלריה


נכנסה לרשימת Nature's 10, עשרת האנשים המשפיעים במדע לשנת 2025. פרופ' יפעת מרבל
(צילום: Daniel Rolider for Nature)
ברמה המולקולרית הבסיסית, פרופ' מרבל גילתה רובד חדש לחלוטין של מערכת החיסון האנושית באמצעות חקר הפרוטאוזומים – מרכזי המיחזור של התא, האחראים לפירוק חלבונים. במחקריה מצאה כי בנסיבות מסוימות, הפרוטאוזומים אינם רק מפרקים חלבונים, אלא חותכים אותם כך שנוצרים פפטידים אנטי-מיקרוביאליים, המסייעים לגוף להילחם בזיהומים.
אופק טיפולי חדש למדוכאי חיסון
הבסיס לפריצת הדרך התגבש בזכות שיטה שפיתחו החוקרים לפני כמה שנים, שאפשרה לבחון כיצד פעילות הפרוטאזום משתנה בתגובה להדבקה חיידקית. "הרגע שבו ראינו שחיתוך הפפטידים בפרוטאזום משתנה בעקבות ההדבקה היה נקודת מפנה – שם הבנו שיש כאן מנגנון חיסוני חדש", אומרת קארין גולדברג, תלמידת המחקר שהובילה את הפרויקט.
כדי להבין את היקף התופעה פיתחו החוקרים אלגוריתם שסקר את כלל החלבונים בגוף האדם, ואיתר באילו מהם חבויים מקטעי חלבון בעלי מאפיינים המתאימים להשמדת חיידקים. כך נוצר מאגר חסר תקדים של פפטידים בעלי פוטנציאל אנטי-מיקרוביאלי, שרבים מהם לא היו מוכרים עד כה.
4 צפייה בגלריה


מימין לשמאל: ד"ר מרב שמואלי, ד"ר פאולה אנטונלו, ד"ר ארסניי לובוב, עינב לזר, קארין גולדברג ובמרכז פרופ' יפעת מרבל
(צילום: מכון ויצמן למדע)
"ייתכן שנוכל למנף את מאגר הפפטידים הזה לפיתוח מגוון טיפולים מותאמים אישית נגד זיהומים, או למשל עבור מדוכאי חיסון כמו מושתלי איברים ומטופלי סרטן – שיוכלו לקבל טיפול בפפטידים טבעיים שיחזקו את מערך ההגנה של גופם", מסבירה פרופ' מרבל. לדבריה, בעידן שבו עמידות לאנטיביוטיקה מאיימת על בריאות הציבור, גילוי של מאות אלפי פפטידים חיסוניים פוטנציאליים אינו רק מרחיב את ההבנה של מערכות ההגנה בגוף, אלא גם פותח אפשרות לפיתוח תרופות חדשניות, מדויקות ובטוחות יותר, המבוססות על מנגנונים טבעיים.
מעבר למשמעות הקלינית, היא מדגישה כי ההתרגשות הגדולה היא בעצם גילויו של מנגנון תאי בסיסי חדש: "המחקר הזה ממחיש עד כמה פיתוח טכנולוגיות ומחקר בסיסי שזורים זה בזה בדרכים שלא תמיד ניתן לצפות מראש – בלי הטכנולוגיה שמאפשרת מבט אל תוך פחי האשפה של התאים, לא היינו מגלים את הממצא הזה, אבל כשפיתחנו אותה לא יכולנו לדמיין שזה מה שנמצא".
"כל הבניין ניזוק, הכול היה רסיסים והרס"
בריאיון ל-ynet מתארת פרופ' מרבל את הרגעים הדרמטיים שלאחר פגיעת הטיל בבניין שבו שכנה המעבדה שלה. "שלושה חודשים בלבד לפני שפגיעת הטיל החריבה את הבניין שבו שכנה המעבדה שלי, פרסמנו מאמר מדעי ב-Nature שחשף את התגלית על מערכת חיסון חדשה", היא אומרת.
פרופ' מרבל, המתגוררת בקמפוס של מכון ויצמן יחד עם בת זוגה ושלושת ילדיהן, הייתה קרובה מאוד לזירת הפגיעה בזמן התקיפה: "אני מתגוררת ממש בסמוך לאזור שבו פגע הטיל השני, מתוך שניים שפגעו במכון ויצמן. גם הדירה שלנו ניזוקה מההדף. יצאתי לראות מה קורה במעבדה – והנזק היה עצום. כל הבניין ניזוק, הכול היה מלא רסיסים והרס".
פרופ' מרבל: "קורים כאן דברים חשובים, ויש לנו הרבה מה להציע לעולם. גם אני וגם מכון ויצמן במהותו מחויבים לקידום האנושות – זו שליחות. על הבסיס הזה מדינת ישראל צריכה לצמוח ולהתפתח, כי בסופו של דבר ההון האנושי הוא המשאב היקר ביותר שיש לנו. צריך לוודא שהוא ימשיך להצמיח ידע וחידושים, ולמקם אותנו על המפה העולמית של החדשנות"
לדבריה, ההתמודדות הייתה מיידית: "נאלצנו לסגור במהירות את כל המקררים שדלתותיהם נפתחו מעוצמת ההדף, וגם את הברזים. נכנסנו לבניין יחד עם כוחות פיקוד העורף והתחלנו להציל כל מה שאפשר, כשאין חשמל וצריך לשמר את הדגימות עד שניתן יהיה לפנות אותן. בהמשך עברנו לבניין אחר והתחלנו להקים את המעבדה מחדש".
"אנטיביוטיקה טבעית" שהגוף מייצר בעצמו
התגלית שעליה מבוססת הבחירה ב-Nature חושפת מנגנון טבעי של הגנה חיסונית שפועל באופן רציף בגוף. "במחקר גילינו שתהליכי פירוק החלבונים בתא מייצרים כל הזמן פפטידים בעלי פעילות אנטי-מיקרוביאלית – מעין 'אנטיביוטיקה טבעית' שהגוף מייצר בעצמו", מסבירה פרופ' מרבל. "את הפפטידים האלה אפשר גם לייצר מחוץ לגוף, וכאשר נותנים אותם באופן חיצוני – תוצרי פירוק החלבונים יכולים לסייע במאבק בזיהומים ואף להציל חיים".
לדבריה, "התגלית הזו עשתה הרבה רעש בעולם. מצאנו חומר אנטי-מיקרוביאלי, כמו 'אנטיביוטיקה' שהגוף מייצר באופן טבעי, בתקופה שיש עמידות מאוד גדולה לאנטיביוטיקה". היא מדגישה כי מאחורי ההישג עומדת עבודת צוות: "כל זה לא היה קורה בלי הסטודנטים והסטודנטיות המדהימים שלי בקבוצה, ובראשם קארין גולדברג שהובילה את המחקר".
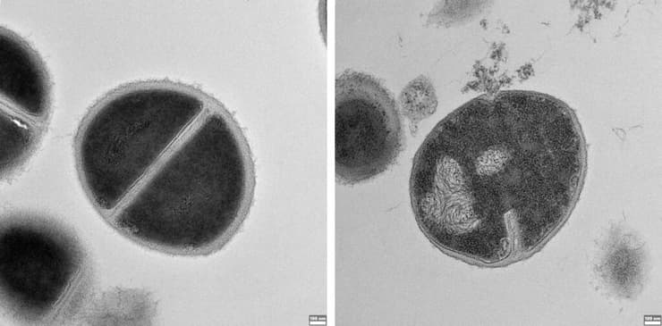
4 צפייה בגלריה


משמאל: תא חיידק תקין בתרבית, מימין: התא מושמד על-ידי פפטיד אנטי מיקרוביאלי שמיוצר בפרוטאזום והתגלה במחקר
(צילום: מכון ויצמן למדע )
לדבריה, הסביבה המחקרית במכון ויצמן מאפשרת חופש מדעי מלא גם לרעיונות נועזים ולא שגרתיים. "זה מדהים שאפשר לעשות מחקר כזה במדינת ישראל", היא אומרת. "יש עוד הרבה כיוונים ו'סודות' מדעיים שמסתתרים ב'פחי האשפה' של התאים, ואנחנו מרחיבים כיום את תחום המחקר הזה בצורה משמעותית".
"יש לנו הרבה מה להציע לעולם"
את הדוקטורט עשתה מרבל באוניברסיטת הרווארד, ואת לימודי התואר השני במכון ויצמן – באותה מעבדה שנהרסה במתקפה האיראנית. "באותה תקופה זו הייתה המעבדה של פרופ' ירון כהן, ובהמשך 'ירשתי' את המעבדה שלו בבניין וולפסון, שבו שכנה גם המעבדה שנהרסה", היא מספרת.
היא חוזרת ומדגישה כי המבט צריך להיות מופנה אל התקומה והעשייה קדימה – ולא אל ההרס והחורבן. "קורים כאן דברים חשובים, ויש לנו הרבה מה להציע לעולם. גם אני וגם מכון ויצמן במהותו מחויבים לקידום האנושות – זו שליחות. על הבסיס הזה מדינת ישראל צריכה לצמוח ולהתפתח, כי בסופו של דבר ההון האנושי הוא המשאב היקר ביותר שיש לנו. צריך לוודא שהוא ימשיך להצמיח ידע וחידושים, ולמקם אותנו על המפה העולמית של החדשנות, בתחומי הביוטק והביורפואה".
היא מסכמת בכך שהמשמעות של המחקר רחבה במיוחד. "המשמעות של המחקר על ה'אוצרות' שמסתתרים ב'פחי האשפה' של התאים חוצה את כל תחומי המדע, והיא רלוונטית למגוון רחב של מחלות – ולא למחלה אחת בלבד. הטכנולוגיה הזו, שמאפשרת להתבונן מחדש ב'פחי האשפה' התאיים, עשויה להשפיע על האופן שבו אנחנו מבינים ותופסים מחלות, וכמובן גם על הדרך שבה נפתח את הטיפולים עבורן".







